โทรได้ 24 ชม. 02-185-1444

Down Syndrome ทำไมคุณแม่ต้องรู้

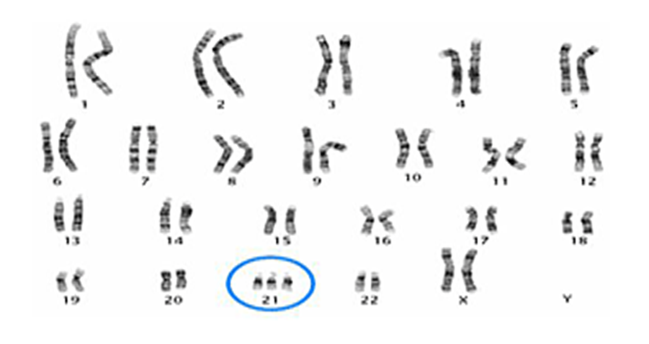
ภาวะดาวน์ซินโดรม เกิดจากการมี โครโมโซมคู่ที่ 21 เกินมา 1 แท่ง ทำให้ร่างกายมีโครโมโซมทั้งหมด 47 แท่ง แทนที่จะเป็น 46 แท่ง ในประเทศไทย กลุ่มอาการดาวน์ (Down syndrome) พบได้ประมาณประมาณ 1 ใน 800 ของทารกแรกเกิด

ทำไมทารกในครรภ์ถึงเป็นดาวน์ซินโดรม
ดาวน์ซินโดรม เกิดจากการแบ่งตัวของโครโมโซมในเซลล์ไข่ช่วงการปฏิสนธิมีความผิดปกติ โครโมโซมคู่ที่ 21 แยกกันผิดพลาด (เรียกว่า Nondisjunction) ทำให้ทารกได้รับโครโมโซมคู่ที่ 21 มา 3 ตัว แทนที่จะเป็น 2 ตัว จึงเกิดภาวะ Trisomy 21  มักเกิดในเซลล์ไข่ของมารดาที่มีอายุมาก  พบได้ถึงร้อยละ 95

สาเหตุรองลงมา คือการสับเปลี่ยนของโครโมโซม (chromosomal translocation) เกิดจากการที่มีโครโมโซมย้ายไปอยู่ผิดที่ เช่น โครโมโซมคู่ที่ 14 มายึดติดกับคู่ที่ 21 เป็นต้น พบได้ร้อยละ 4  ในคุณแม่ที่อายุน้อย

ส่วนสาเหตุที่พบได้น้อยที่สุด คือ ภาวะโมเซอิก (mosaics) มีโครโมโซมทั้ง 46 และ 47 แท่งในคนเดียวกัน ซึ่งพบเพียงร้อยละ 1 เท่านั้น

ทารกที่เป็นดาวน์ซินโดรมจะมีลักษณะและอาการอย่างไรบ้าง
1. ลักษณะทางกายภาพที่พบบ่อย
– หน้าแบน (flat facial profile)
– ตาเฉียงขึ้น มี epicanthal fold
– จมูกแบน สันจมูกต่ำ
– ลิ้นโต ยื่นออกจากปาก (macroglossia)
– หูเล็ก ตำแหน่งต่ำ
– คอสั้น
– กล้ามเนื้ออ่อนแรง (hypotonia) ในทารก
– มือสั้น นิ้วสั้น
– มี single transverse palmar crease (simian crease)
– ช่องว่างระหว่างนิ้วหัวแม่เท้ากับนิ้วที่สองกว้าง (sandal gap)

2. พัฒนาการ
– พัฒนาการช้ากว่าปกติ
– ระดับสติปัญญาบกพร่อง (intellectual disability)
3. โรคร่วมที่พบได้บ่อย
– โรคหัวใจพิการแต่กำเนิด
– ปัญหาระบบทางเดินอาหาร เช่น Duodenal atresia
– ภาวะไทรอยด์ต่ำ เช่น Hypothyroidism

ใครคือคนที่ต้องตรวจคัดกรองดาวน์ซินโดรมบ้าง ?
ผู้ที่มีปัจจัยเสี่ยง

1.อายุของมารดาที่มาก

  • มารดาที่อายุ 35 ปีขึ้นไป มีความเสี่ยงสูงขึ้น

2. เคยมีบุตรที่เป็นดาวน์ซินโดรมมาก่อน

  • หากเคยมีลูกเป็นดาวน์ซินโดรมแล้ว

3. พ่อหรือแม่เป็นพาหะของโครโมโซมผิดปกติ

  • เช่น การมี Robertsonian translocation ของโครโมโซมคู่ที่ 21

4. ประวัติครอบครัว

  • ถ้ามีคนในครอบครัวที่มีความผิดปกติของโครโมโซม

ปัจจุบันการดูแลหญิงตั้งครรภ์ไม่ได้จำกัดเฉพาะอายุ ≥35 ปี เหมือนในอดีตอีกต่อไปแล้ว แต่หญิงตั้งครรภ์ทุกคน ทุกอายุ ควรได้รับการเสนอการคัดกรองตั้งแต่ฝากครรภ์ครั้งแรก ช่วงเวลาที่เหมาะสมที่สุดคือก่อน 16 สัปดาห์ เพื่อให้เหลือเวลาในการตรวจวินิจฉัยและการวางแผนการตั้งครรภ์ได้ทันท่วงที
นอกจากนี้ ทุกวิธีการคัดกรองจำเป็นต้องมีการทำ anomaly scan ที่ 18–22 สัปดาห์ เพื่อประเมินโครงสร้างทารกโดยละเอียด โดยไม่มีการยกเว้นถึงแม้ว่าผลการคัดกรองจะเสี่ยงต่ำ

กาตรวจคัดกรองภาวะดาวน์ซินโดรม มีอะไรบ้าง ?
การตรวจคัดกรอง (Screening test) ใช้เพื่อประเมินว่า ทารกมีความเสี่ยงมากหรือน้อย แต่ยังไม่ยืนยันผลแน่นอนวิธีที่ใช้บ่อย ได้แก่
1. การตรวจเลือดมารดา เช่น Triple test / Quad test
2. การอัลตราซาวด์วัดความหนาต้นคอทารก (NT scan)
3. การตรวจ NIPT (Non-Invasive Prenatal Testing) ตรวจ DNA ของทารกจากเลือดแม่ มีความแม่นยำสูงกว่า 99%

ข้อจำกัดของ NIPT
แม้จะเป็นวิธีที่มีประสิทธิภาพสูงสุด แต่ยังมีข้อจำกัดที่ควรทราบ ได้แก่

• False positive: เกิดจากความผิดปกติของรก (placental mosaicism), ครรภ์แฝดที่หายไป (vanishing twin), ความผิดปกติของโครโมโซมในมารดา, มะเร็งของมารดา, หรือความผิดพลาดทางเทคนิค

• No call (ไม่สามารถรายงานผล): มักเกิดจาก fetal fraction ต่ำ (พบในหญิงที่มี BMI สูงหรือ GA น้อย), ครรภ์แฝด, และปัญหาการตรวจทางเทคนิค

ข้อบ่งชี้ที่ควรพิจารณาตรวจวินิจฉัยโดยตรง และอาจข้ามการตรวจคัดกรองได้นั้นคือ
– มารดาเคยมีบุตรที่เป็นกลุ่มอาการดาวน์
– อัลตราซาวด์พบความผิดปกติของโครงสร้างที่สอดคล้องกับความผิดปกติของโครโมโซมชัดเจน

เมื่อตรวจคัดกรองแล้วผลผิดปกติ ต้องทำอย่างไร ?
การตรวจวินิจฉัย (Diagnostic test)

  • ใช้ ยืนยันผลแน่นอน ถ้าผลคัดกรองมีความเสี่ยงสูง
    • มี 3 วิธีหลัก ได้แก่
    • Chorionic Villus Sampling (CVS) – ตรวจชิ้นเนื้อรก (ช่วงอายุครรภ์ประมาณ 11–13 สัปดาห์)
    • Amniocentesis – การเจาะน้ำคร่ำ (15–20 สัปดาห์)
    • cordocentesis– เจาะเลือดจากสายสะดือทารก

ดังนั้นการฝากครรภ์แต่เนิ่นๆ จึงมีความสำคัญต่อมารดาที่ตั้งครรภ์เป็นอย่างมาก ควรเข้ามารับคำปรึกษา ตรวจคัดกรองโรคต่างๆ ค้นหาความเสี่ยง และการได้รับยาบำรุงครรภ์ ยา และวัคซีนที่เหมาะสมตามช่วงอายุครรภ์ เพื่อความปลอดภัยของทั้งมารดาและทารก

ให้ความรู้โดย : แพทย์หญิงมลเพ็ญ ตติยชลวิพุธ (แพทย์เฉพาะทางสูติศาสตร์ และนรีเวชวิทยา)

บทความสุขภาพ